سروسز اور FQAs

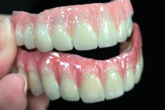
چینی مٹی کے برتن ڈینٹل وینر، IPS e.max veneer - Ultra Thin 0.2mm، دیرپا قدرتی نظر

سیکاڈا کے پروں کی طرح پتلا

1. موٹائی 0.2 ملی میٹر ہے۔

یہ تیاری کے علاقے کو کم کرکے خوبصورت اور قدرتی ہے یا دانت بھی تیار نہیں کرتا ہے۔ دانت جسم کی تنظیم کا زیادہ سے زیادہ تحفظ، مسوڑوں کو متحرک نہیں کرے گا، دانت فطرت کی حالت کو برقرار رکھ سکتے ہیں۔

2. اصلی دانتوں سے زیادہ سخت

عام دانتوں کی سختی 250 ایم پی اے ہے۔
اعلی درجے کی یورپی پیداوار ٹیکنالوجی کا استعمال کرتے ہوئے ٹکڑے ٹکڑے پتلی چینی مٹی کے برتن veneers، طاقت 360-400 ایم پی اے تک پہنچ سکتی ہے، اصلی دانتوں سے زیادہ مشکل ہے.

3. مضبوط استحکام اور گر نہیں جائے گا

نامیاتی چپکنے والی ٹکنالوجی کا استعمال کرتے ہوئے پتلی سیرامک ​​​​وینر ، اچھی مضبوطی ، بغیر کسی خرابی کے دباؤ کو برداشت کرسکتے ہیں۔

4. قدرتی حقیقت

رنگ کی مخلصی اور قدرتی شکل
قدرتی دانتوں کے رنگ سے بہت ملتے جلتے ہیں۔

5. کم سے کم ناگوار چھوٹے تیاری کے دانت

پتلی ہونے کی وجہ سے دانتوں کی سطح کو پیسنے کی ایک بڑی تعداد کی ضرورت نہیں ہے۔
زیادہ سیکورٹی فرم، کیونکہ چپکنے والی ٹیکنالوجی جدید ہے،

6. دیرپا اثر

اچھی شیڈنگ اور شفافیت کے ساتھ پتلا پوشاک، کسی بھی دھات کے اجزاء پر مشتمل نہیں ہے، جمالیاتی اثر بہترین ہے، مصنوعات میں اعلی لباس مزاحمت ہے، کوئی رنگ نہیں، ایک مستقل سفیدی اثر حاصل کر سکتا ہے.

متعلقہ خبریں۔
مجھے ایک پیغام چھوڑ دو
X
ہم آپ کو براؤزنگ کا بہتر تجربہ پیش کرنے ، سائٹ ٹریفک کا تجزیہ کرنے اور مواد کو ذاتی نوعیت دینے کے لئے کوکیز کا استعمال کرتے ہیں۔ اس سائٹ کا استعمال کرکے ، آپ کوکیز کے ہمارے استعمال سے اتفاق کرتے ہیں۔ رازداری کی پالیسی
مسترد قبول کریں